Iğdır Devlet Hastanesi'nde Bir İlk!
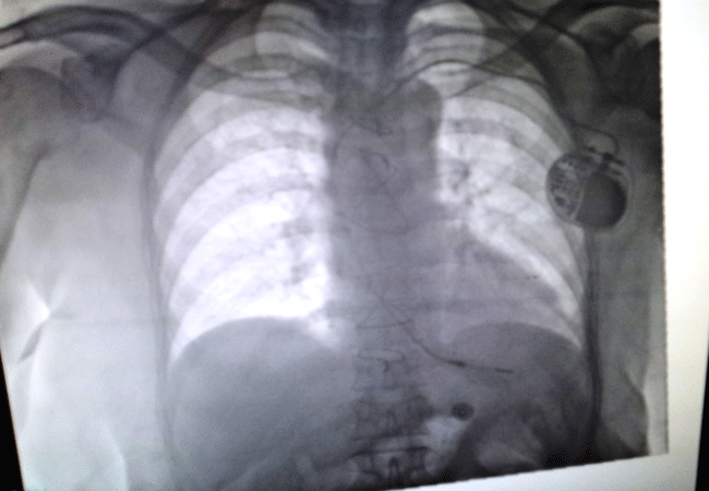
Iğdır Devlet Hastanesi'nde görev yapan uzman Dr. Abdullah Çirit tarafından, kalp krizi geçiren yaşlı bir hastaya 'kalcı kalp pili' takıldı.
Iğdır Devlet Hastanesi'nde Bir İlk!
Iğdır Devlet Hastanesi’nde görev yapan uzman Dr. Abdullah Çirit tarafından, kalp krizi geçiren yaşlı bir hastaya ‘kalcı kalp pili’ takıldı.
Iğdır Devlet Hastanesi’nde görev yapan kardiyoloji uzmanı Dr. Abdullah Çirit, kalp krizi geçirmesi sonucu kendilerine gelen yaşlı hastaya ilk önce kalp pilini taktıklarını, daha sonra da Iğdır’da bir ilki gerçekleştirerek kalıcı kalp pilini taktıklarını söyledi.
Çirit, “Amacımız Iğdır Devlet Hastanesi’nde bunu rutin bir hale getirmektir. Zaten bununla ilgili uygun bir firma ile 22 F dediğimiz bir anlaşma imzalayacağız. Böylece uygun bir hasta olduğunda bir saat içerisinde kalcı kalp pili takabileceğiz. Normalde bu tür operasyonlar anjiyosu olan 3 basamaklı ve 2. basamaklı hastanelerde yapılıyor. Anjiyosu olmayan hastanelerde yapılması enderdir. Iğdır diğer illere uzak bir şehirdir. O yüzden diğer 2. basamak hastanelerden farklı olarak Türkiye’de ilk olarak bir firma ile 22 F imzalayarak hizmet alacak tek devlet hastanesi burası olacaktır. Yani bu işi düzenli bir şekilde yapmayı görev ilkesi olarak edindik” dedi.
“IĞDIR HASTA SEVK EDEN DEĞİL HASTA SEVK ALAN YER OLACAKTIR”
Iğdır Kamu Hastaneleri Genel Sekreteri Uzman Dr. Bülent Kaya ise, kardiyoloji uzmanı Çirit’in bu anlamda kendilerine gelen talebi değerlendirdiklerini, gerekli ekipman tahsis edilmesi konusunda hemen girişimde bulunduklarını söyledi. Iğdır'ın Türkiye'nin en doğusunda olduğunu ifade eden Kaya, “Bu işlemin Iğdır’da yapılması hastalarımız açısından çok önemli. Bu işlemin yapıldığı 3. basamak sağlık tesisine 220 ile 300 kilometre uzaklıktayız. Bu işlemi gerçekleştirdik, devamını da sağlayacağız. Bu tür hastaların başka yerlere sevkinin önüne geçmiş olacağız. Ayrıca bölgede bu tür hastaları da Iğdır’a çekmeyi planlıyoruz. Iğdır, hasta sevk eden değil hasta sevk alan yer olacaktır” şeklinde konuştu.
Hasta yakınları ise, bu tedaviden çok memnun olduklarını, ayakta durmakta dahi güçlük çeken annelerin sağlığına kavuştuğunu belirtti.


