Nefes borusuna kaçan mısır tanesi 5 ay sonra ortaya çıktı
Denizli'de 78 yaşındaki felçli hastanın nefes borusuna kaçan mısır tanesi 5 ay sonra ortaya çıktı.
Denizli'de 78 yaşındaki felçli hastanın nefes borusuna kaçan mısır tanesi 5 ay sonra ortaya çıktı. Akciğerine enfeksiyonu şikayetlerinin tekrarlamasıyla ortaya çıkan olayda, yaşlı kadının sağ akciğerinin tamamen kapalı olduğu anlaşıldı.
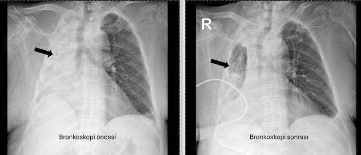
Denizli'de yaşayan ve emekli öğretmen olan 78 yaşındaki felçli kadın son zamanlarda sık sık akciğer enfeksiyonu nedeniyle hastaneye gidiyordu. 1 ay önce gittiği hastanede bronkoskopi yapılmasına rağmen sorun saptanmadığı öğrenildi. Yaşlı kadının son gittiği hastanede sağ akciğerinin tamamen kapandığının tespit edilmesi üzerine Pamukkale Üniversitesi Hastanesine başvuruldu. PAÜ Hastaneleri Göğüs Hastalıkları Anabilim Dalı Öğr. Üyesi Prof. Dr. Göksel Altınışık Ergur, tarafından yapılan tetkiklerde sağ akciğere giden hava yolunun bütünüyle kapalı olduğu görüldü. hastaya acil bronkoskopi planlanıp hemen işlemin gerçekleştirildiğini söyleyen Prof. Dr. Altınışık Ergur, "Fleksibl (esnek, eğilip bükülebilir) bronkoskop ile hava yolları incelenirken çok yoğun ve koyu sekresyon olduğu, bunun iyice temizlenmesi sonucunda ancak hava yollarının incelenebileceği görüldü. Aspiratör (içerideki salgıları emmeye yarayan bir cihaz) sayesinde hava yollarına steril sıvı verilip emilerek bu temizlik yapıldı. Sonrasında sağ akciğere giden hava yolunda sarı bir nesne olduğu görüldü. Bu hâliyle yabancı cisim olduğu anlaşıldığı gibi bunun mısır tanesine benzerliği de açıktı. Yabancı cismi çıkarma işlemi genel anestezi altında, rijit bronkoskop ile yapılmak üzere planlanabilirdi; çünkü bu durumun tedavisi yabancı cismin oradan, ek sorun oluşturmaksızın çıkarmaktı. Ancak, genel anestezi altındaki bir işlem için hastanın genel durumu bozuk olduğundan, özellikle ek hastalıkları ve enfeksiyon varlığı ile işlem riski artacağından hastadaki cismin fark edildiği sırada çıkarılmasına şans vermek daha uygun görüldü. Hava yolu içindeki sıvıları emen aspiratörün gücünü kullanılarak cismin çıkarılması mümkündü. Bronkoskobun ucu, sarı cismin gövdesine dayanıp aspiratör ile emme sayesinde ikisi birbirine sımsıkı yapıştırıldı. Emme gücünün azaltılmamasına dikkat ederek yabancı cisim ve bronkoskop, aynı zamanda hava yollarından dışarıya başarı ile çıkarıldı. İşlem sonrasında hasta yakınına mısır tanesi açısından tıbbi öykü yeniden sorulduğunda, hastamızın bundan beş ay önce yediği pizzanın üzerinde mısır taneleri olduğu öğrenildi. O sırada ani bir yakınma ortaya çıkmadığı için böyle bir ihtimal akla gelmemişti. Düşkün hastalar taneli gıdalar yerken, bu durumun fark edilmeden de gelişebileceğini göstermesi açısından önemli olan bu tablo, hastaların bir dedektif titizliği ile değerlendirilmesi gerekliliğini bir kez daha ortaya koymaktadır" dedi.
"Heimlich manevrası ya da öksürükle cisim dışarı atılamazsa, bronkoskopi ile müdahale gerekir"
Hava yoluna yabancı cisimlerin kaçmasının ani ve beklenmedik kazalar sonucu ortaya çıktığını ifade eden PAÜ Hastaneleri Göğüs Hastalıkları Anabilim Dalı Öğr. Üyesi Prof. Dr. Göksel Altınışık Ergur, "Normalde yemek borusu ile soluk borusu arasında yer alan epiglot adlı kapak, gıdaların yanlışlıkla hava yollarına kaçmasını önler. Ancak gülme, konuşma gibi durumlarda ya da yatar pozisyonda beslenen bakım hastalarında bu koruyucu mekanizma devre dışı kalabilir. Kuru yemiş, nohut, sıvı gıdalar, iğne, diş protezi gibi yabancı cisimler hava yollarına kaçtığında öksürük refleksi devreye girerek güçlü şekilde tepki verir. Cisim büyüklüğü ve tıkadığı bölgeye bağlı olarak nefes darlığı, morarma ve hatta ölüm meydana gelebilir. İlk aşamada Heimlich manevrası ya da öksürükle cisim dışarı atılamazsa, bronkoskopi ile müdahale gerekir. Bu işlem genellikle genel anestezi altında rijit bronkoskop adı verilen metal bir tüple gerçekleştirilir. Yabancı cismin çıkarılmaması durumunda, akciğerde hava giriş çıkışının durması sonucu sönme (atelektazi) ve dirençli enfeksiyonlar gelişebilir. Bu da kalıcı akciğer hasarına yol açabilir" ifadelerini kullandı.

Kaynak: